Home
Meet The Doctor
Office Tour
Contact Us
Office Policies
Appointments
Services
Lumineers
ViziLite Oral Cancer Screening
   
 


                      Lumineers By Cerinate

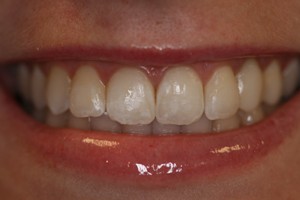
CenterLumineers are a thin all porcelain veneer bonded to the front of the tooth to change your smile. Lumineers are done usually in 2 visits and need little to no preparation. The natural tooth structure is not compromised because there is no shots or drilling involved. In 10 years if you want to remove your Lumineers and go whiter or change the shape,your natural tooth will look the same way they did before the Lumineers were placed . Long term research shows that Lumineers can last over 20 years. Lumineers won't ship or stain over time.

 

This is a case done by Dr. Balian...Can you guess which tooth has a Lumineer??